Our local pundit finds humor in many things, even the challenges of brain tumors and tremors, which, he says, “have been a mix of physical therapy, meds, chiropractors, wine, moderate profanity and the support of my patient wife.”
EDITOR’S NOTE: This essay was written for Dave Schlenker’s latest book, Columns, Confessions and A Brain Cyst, now available on Amazon.com. The book is his second collection of essays and articles from the Ocala Star-Banner, Ocala Style and the Ocala Gazette. A longtime Florida journalist, Schlenker delves deep into pressing issues: Why is there underwear on the doorknob? Where is the SS Minnow? Who placed sardines in his car in August? Is Erik Estrada still a hunka hunka burnin’ love?
“The tremor in my left hand started in 2023. The right hand was punching a keyboard or chopping vegetables or just doing what extremities are supposed to do in their 50s, but the left hand had its own rhythm.
It felt like a third cup of coffee on an empty stomach. Like the jitters before a job interview. Like a spastic drum solo fueling a mosh pit.
“Well, that’s odd,” I said dismissively, just like that time 31 years ago when a stabbing pain seized my left eyeball.
The tremor grew worse, too independent to ignore. Typing became a carnival side show. Perhaps a visit to my neurologist was in order before I knocked over more coffee and wine.
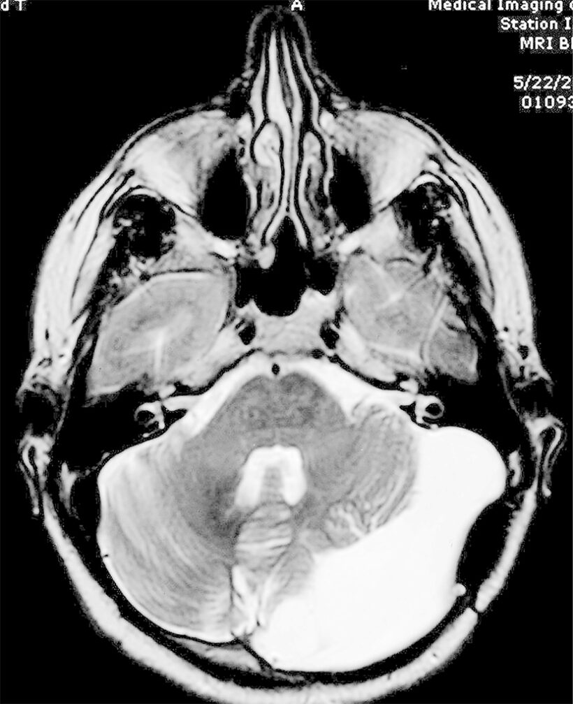
In the fall of 2023, two neurosurgeons reached the same conclusion. This is another unexpected byproduct of that big ol’ honkin’ brain cyst affixed to my cerebellum, that sack of spinal goo that has been fighting for skull space since, well, maybe forever.
Another shared neuro-community conclusion: No more brain surgery. Three was enough. My scarred neck tissue, tender skull and delightful menu of surgery symptoms would not allow it.
About that brain cyst …
As the band Sister Hazel sings, “You should see the world inside my head.”
This is the full story of that big ol’ chunk of ick. This latest dance with neuro docs prompted two things: (1) A tremor med that works and, (2) the spark to sit down, write about the cyst and—at 56—come to terms with its command on my adult life.
The ‘World Inside My Head’ Is Gross
World Inside My Head is on Sister Hazel’s marvelous 2004 album, Lift. When I pause long enough to consider my brain, I start humming the chorus because if you could see the world inside my head, you would see a tangle of nerves, scar tissue, cerebral guts and a cyst that has survived three scalpel assaults.
Yes, my brain anomaly has a soundtrack: “The weight on me is hanging on to a weary angel,” Hazel frontman Ken Block wrote. Yet, that cyst has always marched to its own beat.

I was 25 and walking up my girlfriend’s driveway in October 1992 when the pain knocked me off balance. It felt like a knife stabbing the back of my left eyeball—twisting, resting, stabbing, twisting again. It lasted maybe 30 seconds and faded as quickly as it attacked.
“Well, that’s odd,” I recall thinking at the time.
Then we went to dinner. I had a steak and a cold beer. I did not think about the episode again until I had another painful one. Then another the next week and so on and so on.
My physician suggested migraines. They are blinding and debilitating, he said. Take some Advil and keep track of it. Call if it continues.
It continued.
Stumped, the physician sent me to a neurologist, who saw a healthy 25-year-old yammering about headaches. During the second visit, the neurologist arranged an MRI, perhaps a concession to ease my chatter or, at the very least, move on to the next patient in the examining room.
The radiology tech said I could bring a CD, so I listened to Béla Fleck and the Flecktones’ self-titled album in the tight MRI tube. The MRI’s clunks, moans and jet-engine screeches mixed with the band’s funky banjo jazz. It was a surreal soundtrack for a groom-to-be’s wandering thoughts.
Groom?
Did I mention I was set to marry that sweet girlfriend in less than two months? Well, I was set to marry Amy Sue in less than two months. So, this whole headache/MRI/banjo cacophony needed to wrap up pretty damn quick. We had dishware to pick out.
“Your doctor will call you with the results in about two weeks,” the radiology tech said.
Two hours later, the neurologist himself called.
“We found the source of your headaches,” he said. “You have a very large arachnoid cyst on your left cerebellum. I’m talking BIG, the size of a fist. We need to remove it soon.”
“As in surgery?” I asked, not grasping the surgery was, well, brain surgery.
On October 19th, 1992, a nurse shaved my head, another dumped calming fluids in my IV bag and my family gathered around me trying to find nonbrain stuff to discuss. Maybe it was the happy juice, but I was not nervous. I spent much of the time trying to tame the elephant in the room with jokes and random Dave babble.
When they wheeled me into the operating room, I looked at the surgeon and said, “Just take a little off the top, doc.” He smiled a you-poor-simp smile, which was the last thing I saw before …
‘I Want Morphine!!! Now!’
The pain was like someone had sliced into my skull, drilled bone, pulled apart my neck muscles and poked around my head innards with a scalpel for a few hours. Which is exactly what had happened.
I was trembling from the pain and chills, trying hard not to move but yelping because sobbing is movement and movement is pain. I wanted two things immediately: Drugs and Amy Sue.
Less than two months later, Amy and I were married as scheduled. She was breathtaking. I was partially bald. The scar on the back of my head—the side facing the wedding guests—looked like a pregnant leech migrating north.
I felt good. Life was wonderful. Hair grows back.
As does an arachnoid cyst the size of a fist.
Upon looking at Cyst 2.0, the neurosurgeon said when an obstruction has been there so long—my whole life, probably—the brain tissue just does not pop back into place once the cyst is gone. The empty space filled back with fluid, with cyst walls forming again to contain the goop.
It was 2000. We had survived Y2K, so what the hell?
The approach to surgery number two was a shunt; this is a drainage tube that neurosurgeon two installed from the brain cyst to the stomach, emptying the cyst sack and allowing the spinal juice to vacate through my digestive system.
I woke up trembling in the recovery room again, white-hot pain slicing from scalp to neck. This time, there was a lump near the incision that contained an adjustable pressure valve. The neurosurgeon would bring out some voodoo stick, place it on the lump-valve thing and adjust the amount of fluid flowing into my stomach.
Recovery should have been easier, yet pain remained a constant. The neurosurgeon continued to adjust the valve lump, suggesting we just needed to find the correct pressure. This went on for weeks until Amy had a novel thought: A second opinion.
A quick PSA: Never hesitate to get a second medical opinion. Trust your body.
The second opinion came from Dr. Robert Mericle (pronounced Miracle) at UF Health Shands Hospital at the University of Florida. And that opinion was pretty straight-forward: Get this shunt out of your brain, pronto.
Good call. When Dr. Mericle cracked open my head, he discovered the cyst had collapsed into a flat pancake-shaped mess of tissue gurgling with pockets of blood and reaching for my brain stem. It also tangled up already-agitated nerves in my neck and head.
The shunt did not kill the cyst. It just pissed it off.
Third Times The Charm, Right?
I felt better after the third surgery; still, it was clear there were things I would just need to accept. The cyst, of course, popped right back into place, and the neuroworld decided to stop cracking me open and just treat the symptoms.
I get an MRI every few years, but the cyst has remained the same size and shape since it grew back after the third surgery. The stabbing eye pain shows up rarely, and the Fist of Ick on my cerebellum creates substantial balance issues. I often walk like a sailor spit out of a saloon at 3am.
Ironically, the pain and discomfort I now experience is mostly from the scar tissue created by three brain surgeries designed to quell pain and discomfort. The scar tissue has locked up my neck, limited my mobility and encapsulated the nerves north of my shoulders.
I get severe pain infrequently now; yet, when it comes, it is here to party.
Imagine your neck muscles are a Twizzler, that DNA-like strand of licorice composed of smaller strands twisted together. Imagine pulling those strands apart, not peeling but ripping violently for the center, creating jagged caverns in the gooey stalk. In the center of the Twizzler carcass are nerves, now exposed and raw and crimped. The base of the skull tightens into a righteous fist, pain shoots to the scalp via an angry occipital nerve and your pounding skull thunders with every heartbeat.
Here in 2024, I am a deliriously happy husband and father and driver of Thor, a restored, 2009 6-speed MINI-Cooper. I have a good job and a huge, floppy golden doodle named Rigby Floyd—part Beatles, part Muppet bass player.
It’s a wonderful life full of blessings and laughter.
I am a fan of meds. The pain is infrequent mainly because I do not give the pain much of a chance. After my second surgery (ShuntFest 2000), the only med that touched the pain was Fioricet, a delightful mix of acetaminophen, butalbital and caffeine.
It knocked out the pain and made me very chatty. It also hooked me and prompted excruciating rebound headaches when I ran out, which was often. Addiction is a tricky thing when pain relief is the high you seek. The buzz is a happy extra until you crash.
The last two decades have been a mix of physical therapy, meds, chiropractors, wine, moderate profanity and the support of my patient wife.
Strange Is Just A Different Point of View
The tremor—that most recent symptom—appeared like a B-list sitcom guest. Present, perhaps even promising. It grew to be uncontrollable toward the end of 2023.
Suddenly, I was a writer who could not type. I did not realize the extent of the tremor’s impact until I was sitting at the neurologist’s office, breaking into tears as I recited the things I could no longer do.
The cyst and its subsequent nerve damage are causing the tremors, the surgeons agreed. But no more brain surgery. More scalpels will cause more scar tissue and nerve damage. Treat
the symptoms.
Then something great happened: The neurologist prescribed a medication that stopped the tremors. Think about that. I had a debilitating problem. A doctor prescribed a nonnarcotic pill. It worked. Bam! In my 30 years of neurology tag, I have not experienced this.

So, What Now?
Hell if I know.
Here’s what I do know.
My neck does not turn much. My head still hurts occasionally. My balance is comically bad. My tremor is better. My dog always cracks me up.
All that said: This was not cancer.
My icky cyst on my left cerebellum is just a fistful of fluid that tinkers with my quality of life but not life itself. I have been to more than a handful of funerals for friends toppled by cancer in recent years, and it is jarring. These were mothers and fathers our age who took much better care of themselves than I do.
And then there is my sweet Amy Sue. She was diagnosed with breast cancer in 2019.
No symptoms. Early detection. Girls, get your mammograms. She beat it with quiet dignity, a bumbling husband, faith, family and radiation.
It returned in 2021. And, like my angry shunted brain, it was on a rampage. She was the patient this time; all the lessons she showed me about caring for a sick spouse were in my hands with higher stakes.
In the recovery room following her double mastectomy, Amy looked like I did in 1992. Scared. Chilled. Hurting.
It was uncanny. She quivered under heated blankets, trying hard not to move because weeping is movement and movement is pain. I held her hand just as she held mine in that recovery room in 1992.
She recovered with grace. She is a quiet survivor. I love her.
Sitting at home on this day, typing without a tremor, my wife healthy and happy in the other room, I can tell you this: Our health and recovery provide context for everything I do and write.
Amy is great these days. Rigby likes her better, but so would I.
I have a stupid brain cyst on my cerebellum. It is an odd-but-effective conversation anchor. I am not the Brain Cyst Guy, but rather a dad/writer/photographer/nice guy with an icky sack of crud affixed to his cerebellum.
I wobble. I stretch. I whine. I hug my wife. I listen to Sister Hazel and banjo jazz in tubes.
Context
This is the world inside my head. Doc, just take a little off the top.” OS
Dave will be doing a book signing from 5 to 7pm, Friday, August 9th, at the Ocala Civic Theatre at 4337 E Silver Springs Boulevard, Ocala.






